病歴/身体所見
・48歳女性
・既往歴は特になし
・2か月前からの腹痛と腹部膨満感のためER受診
・全身倦怠感、食欲低下、便秘と下痢の繰り返し、吃逆も訴えた
・腹部は膨満しており、やわらか、圧痛は認めず
検査
・血液検査…Hb11.7g/dLと軽度の貧血以外には特筆すべき所見なし
・腹部超音波…腹水と壁側腹膜に高輝度な物質が描出された

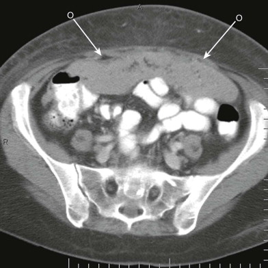
・CT…腹水および大網が索状構造を伴う脂肪織として認められた

診断
omental cake(癌性腹膜炎)
・omental cakeは腹腔内腫瘍の転移(癌性腹膜炎)により発症する
・転移性細胞は大網表面に付着し、結合の緩い基底膜を通じて大網内部に侵入し、大網脂肪で増殖する
(J Comput Assist Tomogr. Mar-Apr 1996;20(2):269-72.)
・omental cakeは腫瘍以外にも以下の疾患で認めうる(頻度はまれ)
◦結核
◦Crohn病
◦急性膵炎
◦肉芽腫性腸炎
◦デスモイド腫瘍
◦髄外造血
◦腹腔内出血
(AJR Am J Roentgenol. 1996 Sep;167(3):743-8.)
・診断はCT所見と、CTガイド下/腹腔鏡下生検による
初めて見たときは「なんじゃこりゃ⁉」でした。
癌との関連がありますが、低頻度でそれ以外の疾患でも発症するようです。
パンチの強い画像なので一度見ると忘れられないと思います。
omental cakeという所見名もかわいいです。
何枚かomental cakeのCT所見を貼っておきます。

卵巣癌による腹膜播種(omental cake)
(Grainger & Allison's Diagnostic Radiology, Seventh Edition)

omental cake
(Textbook of Gastrointestinal Radiology, Fourth Edition)
まとめ
・omental cakeは癌性腹膜炎の所見であり、腹腔内腫瘍を検索せよ
・まれに癌以外の疾患でも発症することがある