りんごの街の救急医

救急科専門医によるERで学んだことのまとめブログです!間違いなどありましたら是非ご指摘下さい。Twitterでも医療系のつぶやきをしています@MasayukiToc

2020-12-26から1日間の記事一覧

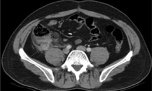
症例47:虫垂切除歴がある32歳男性に発症した右下腹部痛(Am J Emerg Med. 2020 Nov 9:S0735-6757(20)31019-6.)

病歴/身体所見 ・32歳男性 ・3年前に虫垂切除術既往あり ・2年前にstump appendicitisに対し残存虫垂切除術既往あり ・2日間持続する右下腹部痛と嘔吐のためER受診 ・McBurney点に手術痕を認める ・腸蠕動音は低下、右下腹部に圧痛と筋性防御と反跳痛を認め…