りんごの街の救急医

救急科専門医によるERで学んだことのまとめブログです!間違いなどありましたら是非ご指摘下さい。Twitterでも医療系のつぶやきをしています@MasayukiToc

2021-07-17から1日間の記事一覧

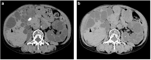
case146:特発性細菌性腹膜炎との鑑別を要する疾患(BMC Gastroenterol. 2021 Jun 24;21(1):267.)

病歴/身体所見/検査所見 ・71歳女性 ・3年前にADPKDによる慢性腎臓病と診断/4年前に右中大脳動脈の未破裂動脈瘤に対してクリッピング術を受けている ・飲酒歴なし、喫煙歴なし ・1か月前に突然右季肋部痛を発症し受診 ◦7カ月前のCTでは認めなかった右肝嚢胞…