病歴/身体所見
・40歳男性
・職業:建設業
・2か月前からの右肩痛と右手脱力/1週間前からの軽度の息切れを自覚してER受診
・右肩関節に圧痛があったが、ROMは問題なし
◦右手筋力低下と筋委縮が認められた
◦右上腕内側部の感覚鈍麻を認めた
検査
・超音波により肺野に不均一な腫瘤と血流増加が認められた

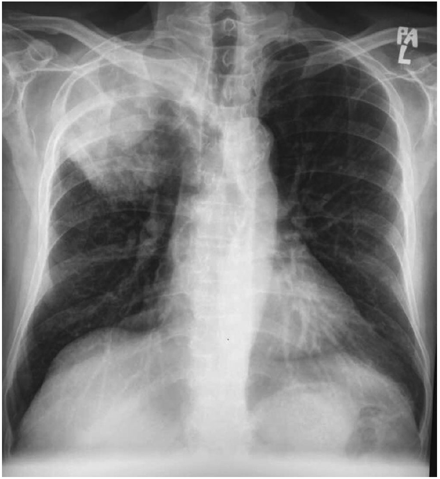
・レントゲンでは右上肺野に腫瘤を認めた

診断
Pancoast腫瘍
・Pancoast腫瘍は肺尖部に認められる悪性腫瘍
・症状として最もよく見られるのは肩痛(84%)であり、非典型的な徴候になりうるため最大12か月も診断が遅れることがある
(Eur Respir J. 2007 Jan;29(1):117-26.)
・Horner症候群や呼吸困難などは晩期症状である
(Ann Emerg Med. 2011 Mar;57(3):203, 212./J Thorac Dis. 2014 Mar;6 Suppl 1(Suppl 1):S108-15.)
・早期診断により化学放射線療法+外科的切除により治療可能
◦2年生存率は治療により55-70%程度
(J Thorac Dis. 2014 Mar;6 Suppl 1(Suppl 1):S108-15./J Thorac Dis. 2013 Sep;5 Suppl 4(Suppl 4):S342-58.)
・超音波検査ではレントゲンで検出できないPancoast腫瘍を同定できることがある
(Chest. 1988 Jul;94(1):124-8./Pain Med. 2016 Dec;17(12):2437-2438.)
「肩の痛み」からPancoast腫瘍が連想できるかが診断の分かれ道です。
鑑別から落ちてしまっていたことがあるかも…。ちゃんと鑑別に挙げられるように脳に刻みました。
Horner症候群や呼吸困難が出てくるのは病状が進行してからなんですね。
「肩の痛み」で来た人の「眼瞼下垂」(これも言われないとわからないかもしれない)とかでピンとくるか自信がないな…。
まとめ
・Pancoast腫瘍の主要な症状は肩の痛みで80%以上の症例で認められる
・Horner症候群や呼吸困難が出現するのは病状が進行してから
・超音波ではレントゲンでは指摘できない腫瘍を同定できることがある