病歴/身体所見
・6か月女児
・子宮内脊髄髄膜瘤術後、低体重児、水頭症の既往がある
・前日より左胸が膨隆しているとしてER受診

・呼吸は安定していた
・最近の外傷歴や感染歴なし
・母親によれば分娩時に2つの治癒後瘢痕と1つの創傷があったという
・バイタルサインは正常範囲内
・左乳頭外側に3つの治癒後瘢痕を認めた
検査
・超音波…膨隆している領域を認めた

診断
肋間肺ヘルニア
・出生時の外傷または子宮内での髄膜瘤修復術の結果であると推測され、患児の肋間が年齢とともに拡大することで肺ヘルニアが顕著に表れるようになったと考えられた
・自然治癒を期待され外来フォローの方針となった
・肺ヘルニアは、肺組織/胸膜が胸壁/縦隔/横隔膜を介して胸郭外に突出することを指す
(Chest. 1973 Aug;64(2):254-6./J Thorac Imaging. Winter 1996;11(1):75-82.)
・肺ヘルニアは先天性も後天性もありえる
◦先天性…肋骨や軟骨の奇形に関連
‣肋間筋の欠如や筋膜の脆弱さもある肋間腔に発生
◦後天性…外傷、特発性、病理学的
(J Thorac Imaging. Winter 1996;11(1):75-82.)
・診断はCXR、CT、超音波で可能
(J Radiol Case Rep. 2014 Apr 1;8(4):16-24.)
・肺ヘルニアは自然治癒が望めるが、有症状の場合には外科的治療を要する
◦増大、疼痛、肺組織の絞扼、換気不良など
(J Radiol Case Rep. 2014 Apr 1;8(4):16-24./Adv Clin Exp Med. Sep-Oct 2013;22(5):611-3.)
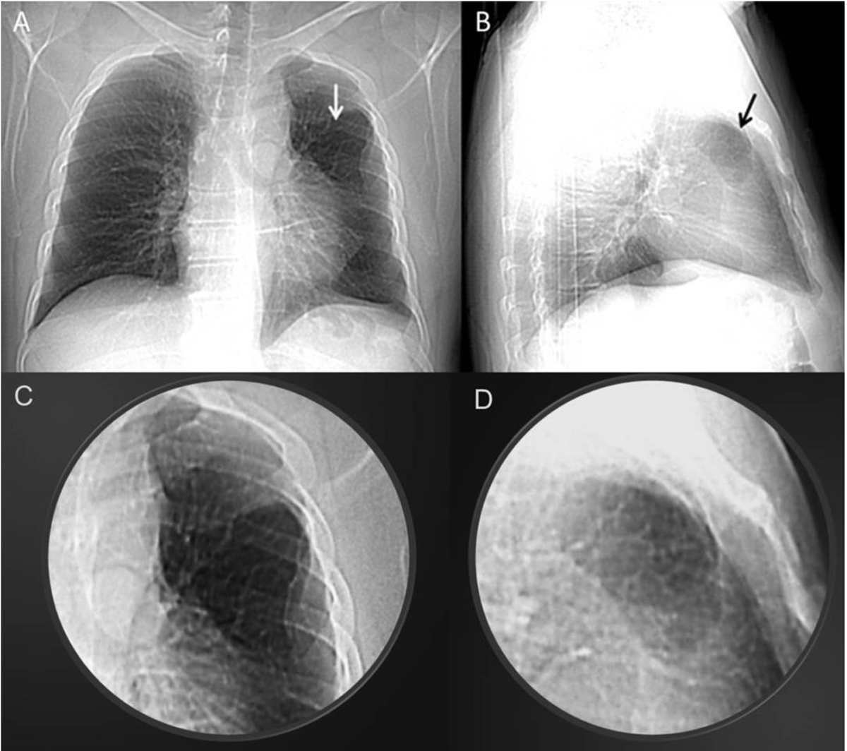
さて、レントゲンやCTでの所見も見ておきます。
( J Radiol Case Rep. 2014 Apr 1;8(4):16-24. より)

40歳男性の肺ヘルニア
A)左上葉の透過性亢進(白矢印)
B)境界明瞭な卵円形の透過性亢進域(黒矢印)
C,D)A,Bの拡大像
まとめ
・肺ヘルニアは肺組織/胸膜が胸壁/縦隔/横隔膜を介して胸郭外に突出することを指し、先天的にも後天的にも発症しうる

