りんごの街の救急医

救急科専門医によるERで学んだことのまとめブログです!間違いなどありましたら是非ご指摘下さい。Twitterでも医療系のつぶやきをしています@MasayukiToc

2021-02-24から1日間の記事一覧

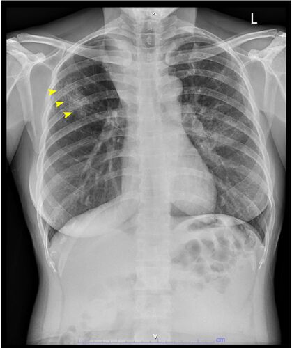
症例107:39歳女性、急激に進行する呼吸不全(J Am Coll Emerg Physicians Open. 2020 Dec 15;2(1):e12333.)

病歴/身体所見 ・39歳女性 ・2日間持続する呼吸困難のためER受診 ・受診時呼吸回数30回/分であり、whezing+stridorが聴取されていた ◦呼吸補助筋使用はなし ・気管支拡張薬が迅速に投与されたが症状は改善しなかった その後の経過 ・受診から2時間後、呼吸困…