病歴/身体所見
・61歳男性
・左膝関節痛の増悪のためER受診
・BP106/65mmHg, BT36.3℃, HR99bpm, RR20, SpO2 99%, GCS15
・神経学的異常なし、心音や呼吸音に異常なし
・両手のばち指を認めた
・左膝は圧痛なし/発赤なしだが、関節液の貯留を認めた
検査
・膝関節レントゲン:両側大腿骨遠位部に境界不明瞭な骨膜の隆起を認めた

診断とnext stepは?
肥大性骨関節症(hypertrophic osteoarthropathy:HOA)
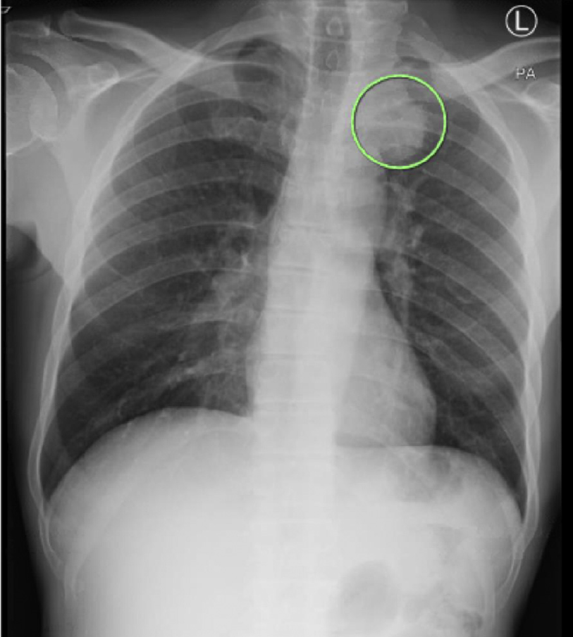
・肺癌検索目的に胸部レントゲン撮影を実施

・胸部レントゲンでは左肺尖部に腫瘤を認めた
・患者は後日気管支鏡検査と生検を受け、非小細胞肺癌の診断となった
・HOAは皮膚および骨膜の異常な増殖として臨床的に現れる病態である
・HOAの臨床的特徴はばち指/長管骨骨膜炎/関節炎を呈すること
◦皮質の破壊や骨折などの骨の異常を伴わない、対称的な骨膜反応がみられる
(Ann Intern Med. 1994 Feb 1;120(3):238-41./Radiographics. Jan-Feb 2017;37(1):157-195.)
・一次性および二次性があるが、HOA症例の95-97%が二次性に発症している
◦最大90%が悪性腫瘍で、非小細胞肺癌と関連がある
⇒ HOAは腫瘍随伴症候群として定義できる
(Radiographics. Jan-Feb 2017;37(1):157-195./Cleve Clin J Med. 2017 Apr;84(4):270-272./J Thorac Oncol. 2010 Jul;5(7):976-80.)
・HOAは肺疾患に続発する場合には肥大性肺性骨関節症として知られる
・HOA症例の60-80%は原発性肺癌に関連
(J Thorac Oncol. 2010 Jul;5(7):976-80.)
・肺癌患者でのHOA発症率は0.7-17%ほど
(Oncol Lett. 2014 Jun;7(6):2079-2082.)
・HOAを認めた場合には、特に成人では悪性腫瘍のスクリーニングを行うことが重要
(Pol Arch Med Wewn. 2009 Sep;119(9):603-6.)
・HOAの腫瘍随伴症候群としての病態生理は明らかではないか、以下の3つの説が有力
1)腫瘍内で動静脈シャントが起こり、巨核球が離れた部位に移動することができるようになる
→大きな血小板断片と内皮細胞の相互作用により成長因子が放出
→線維芽細胞が増殖し、新規の骨成長が起きる
2)成長ホルモン放出ホルモン/成長因子/血管内皮増殖因子/ゴナドトロピンなどの生化学的因子が悪性腫瘍により放出
→低酸素血症下でより放出が誘発するため、低酸素血症を呈する疾患や悪性腫瘍でばち指がみられる
3)迷走神経の求心性線維が腫瘍細胞に刺激される
→遠心性神経刺激と四肢の血流が増加させる神経反射が誘発される
(J Thorac Oncol. 2010 Jul;5(7):976-80./Clin Rheumatol. 2011 Jan;30(1):7-13.)
ばち指を見たら…とか骨膜反応を見たら…悪性腫瘍を検索!というのは反射にしておくとよいと思います。
まとめ
・HOAはしばしば悪性腫瘍により二次的に発症する腫瘍随伴症候群であり、その原因として肺癌が最多
・HOAの骨膜増殖反応を見落とさないこと
◦皮質の破壊や骨折などの骨の異常を伴わない、対称的な骨膜反応がみられる
◦脛骨/腓骨/橈骨/尺骨などの長管骨では特に多くみられる
・HOAを疑う所見があれば悪性腫瘍の検索を行うこと
◦特に慢性喫煙歴がある場合には要注意