りんごの街の救急医

救急科専門医によるERで学んだことのまとめブログです!間違いなどありましたら是非ご指摘下さい。Twitterでも医療系のつぶやきをしています@MasayukiToc

2021-08-01から1日間の記事一覧

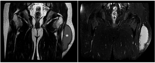
case148:左大腿部の腫脹と疼痛を訴える57歳男性(Ann Emerg Med. 2021 Jun;77(6):e117-e118.)

コレ自体は救急外来で見たら、 「後日整形外科で精査してもらってください」系の疾患かもしれません。 でも大腿部だけではなくて体のさまざまな部位に発生するようなのでコレを知っておくと汎用性が高いかも⁉ 病歴/身体所見 ・57歳男性 ・2か月前からの左大…