病歴/身体所見
・24歳女性
・3日間続く下腹部痛と不正性器出血のためER受診
・恥骨上部の圧痛、膣円蓋にわずかな出血を認めた
検査
・尿妊娠検査は陽性
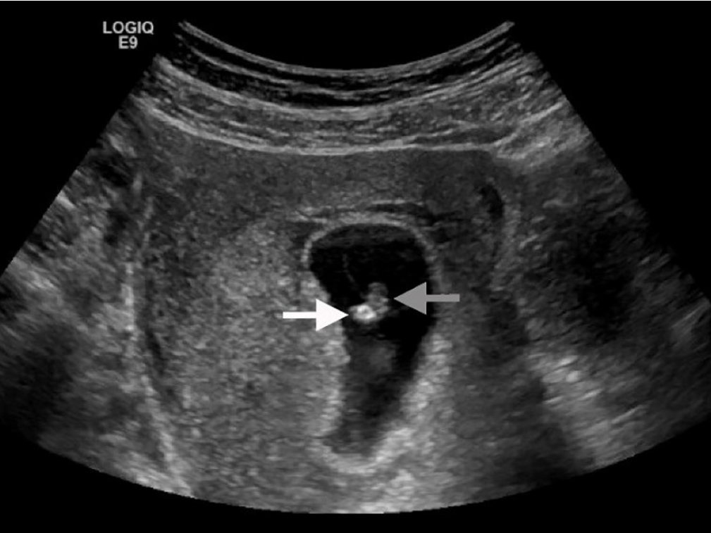
・POCUS:胎芽と隣接する高輝度な卵黄嚢を認めた、胎児心拍は認めず

灰矢印:胎芽、白矢印:高輝度エコーの卵黄嚢
*後方にacoustic shadowを認める

灰矢印:胎芽、白矢印:高輝度エコーの卵黄嚢
診断
卵黄嚢の石灰化
・卵黄嚢の石灰化は、異栄養性石灰化による可能性が高い
◦壊死を起こした組織にカルシウムが沈着する
(Radiology. 1988 Jan;166(1 Pt 1):109-10.)
・妊娠第1期における卵黄嚢の石灰化は胎児死亡の徴候
◦妊娠12週に至る前に胎児心拍がなくなると発症しうる
◦流産の80%は妊娠第1期に起き、この際に卵黄嚢石灰化が認められうる
‣実際に卵黄嚢石灰化がみられる頻度は不明
・POCUSにて胎嚢内の高輝度エコーが認められる
(Radiographics. Nov-Dec 2015;35(7):2135-48.)
・リスク因子は一般的に流産と関連するものと同様
◦流産の既往
◦胎児の染色体異常
◦母体が高齢
◦糖尿病
・症状…腹痛や性器出血など
・身体所見…腹部圧痛、膣円蓋の出血
・治療は待機的療法と対症療法のみ
・外来でのフォローアップが可能であり、7-14日後に妊娠継続ができているか超音波フォローすることでよい
・卵黄嚢石灰化が将来の流産や不妊のリスクを高めることはない
(Williams Gynecology. 4th ed.)
妊娠可能年齢の女性の腹痛/性器出血では、ERにおいては流産や異所性妊娠を考慮します。
・妊娠可能な女性または妊娠第1期妊婦の腹痛/性器出血
◦流産、異所性妊娠は必ず想起すべき
◦膣や子宮頸部の裂創などの外傷
◦卵巣捻転
‣特に、妊娠第1期は黄体の影響で起きやすい
‣生殖医療で卵巣刺激をしている患者も卵巣サイズが大きくなるため要注意
◦妊娠と関連のない腹痛について(特に虫垂炎)も考慮すること
(Am J Obstet Gynecol. 2010 Jun;202(6):536.e1-6.)
胎芽も卵黄嚢も見えるけど石灰化している場合には、残念ながら胎児は死亡しているということになります。まだこの所見は見たことがありませんでした。
ちなみに、正常妊娠初期の超音波所見は以下のサイトに詳しく載っています。
まとめ
・妊娠可能年齢の女性の腹痛/性器出血では、ERにおいては流産や異所性妊娠を考慮
・卵黄嚢の石灰化は胎児死亡のサイン