りんごの街の救急医

救急科専門医によるERで学んだことのまとめブログです!間違いなどありましたら是非ご指摘下さい。Twitterでも医療系のつぶやきをしています@MasayukiToc

2021-04-25から1日間の記事一覧

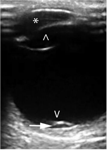
case137:ウエイトリフティング後に霧視と飛蚊症を発症した30歳男性(Ann Emerg Med. 2021 Feb;77(2):269-283.)

症例 ・30歳男性 ・4日前にウエイトリフティングをした際に左目の霧視と飛蚊症を自覚 ・視力…正常/0.5 ・左目の下方の視野欠損を認めた ・ベッドサイドで眼球超音波を実施 ポイントは「息こらえ後に発症した視力障害」です。 診断 Valsalva網膜症 ・1週間後…