りんごの街の救急医

救急科専門医によるERで学んだことのまとめブログです!間違いなどありましたら是非ご指摘下さい。Twitterでも医療系のつぶやきをしています@MasayukiToc

2021-04-12から1日間の記事一覧

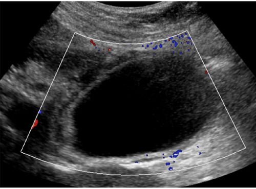
case133:嘔吐と右上腹部痛で受診した77歳女性(Int J Surg Case Rep. 2021 Mar;80:105614.)

病歴/身体所見 ・77歳女性 ・前日より複数回の嘔吐と右上腹部痛を発症してER受診 ・過去数か月にわたって、持続時間10-15分ほどの自然寛解する同様の疼痛を自覚していた ・既往歴は特になく、内服薬もなし 検査所見 ・血液検査…白血球とCRPがわずかに上昇 ・…