りんごの街の救急医

救急科専門医によるERで学んだことのまとめブログです!間違いなどありましたら是非ご指摘下さい。Twitterでも医療系のつぶやきをしています@MasayukiToc

2021-03-10から1日間の記事一覧

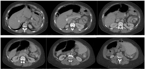
症例121:1週間持続する左上腹部痛が急激に悪化した37歳女性 (Am J Emerg Med. 2021 Mar;41:265.e1-265.e3.)

病歴/身体所見 ・37歳女性 ・潰瘍性大腸炎により結腸全摘術後、肝硬変を合併した原発性硬化性胆管炎、腸閉塞の既往がある ・7日前から嘔気を伴う左上腹部痛が持続していたが、急速に増悪したためER受診 ・BT37℃, HR107bpm, BP169/67mmHg, SpO2 100% ・中等度…