りんごの街の救急医

救急科専門医によるERで学んだことのまとめブログです!間違いなどありましたら是非ご指摘下さい。Twitterでも医療系のつぶやきをしています@MasayukiToc

2021-03-07から1日間の記事一覧

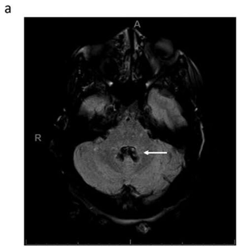
症例118:視線が上下してしまい視線が合わせづらいと訴える23歳女性(Am J Emerg Med. 2021 Jan;39:259.e1-259.e3.)

病歴/身体所見 ・23歳女性 ・既往歴なし ・2日間にわたり視線が維持できず、眼が上下するようで視点が合わせづらいと訴えER受診 ・これに先立って両側性拍動性頭痛があり、安静により改善したが視覚の異常が持続していたという ・頭部外傷/視力低下/眼痛/運…