りんごの街の救急医

救急科専門医によるERで学んだことのまとめブログです!間違いなどありましたら是非ご指摘下さい。Twitterでも医療系のつぶやきをしています@MasayukiToc

2021-02-19から1日間の記事一覧

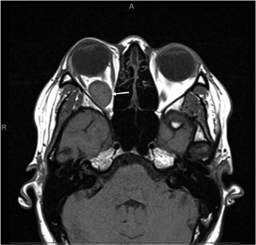
症例102:右眼後部痛と眼球突出により受診した妊娠28週妊婦(J Am Coll Emerg Physicians Open. 2020 Dec 31;2(1):e12340.)

病歴/身体所見 ・22歳(妊娠28週) ・重度の右眼窩後部痛と右眼球突出のためER受診 ・これまでに特に既往はなかった ・診察では眼球突出以外に神経学的異常なし ・視力以上なし、眼球運動により疼痛が誘発された 検査 ・CTおよびMRIにて1cmほどの眼窩内腫瘤…