りんごの街の救急医

救急科専門医によるERで学んだことのまとめブログです!間違いなどありましたら是非ご指摘下さい。Twitterでも医療系のつぶやきをしています@MasayukiToc

2021-02-09から1日間の記事一覧

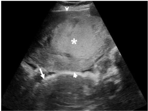
症例92:妊娠36週に発症した腹痛と性器出血(Ann Emerg Med. 2021 Jan;77(1):125-137.)

病歴/身体所見 ・36歳女性、妊娠37週 ・突然発症の腹痛と性器出血のためER受診 ・分娩前健診で羊水過少症の診断がされていた ・意識は清明、HR76bpm, BP87/52mmHg ・胎児心拍197bpm 検査 ・POCUS 高エコーな巨大なmass(*)が胎盤(短矢印)と子宮(矢頭)の…