りんごの街の救急医

救急科専門医によるERで学んだことのまとめブログです!間違いなどありましたら是非ご指摘下さい。Twitterでも医療系のつぶやきをしています@MasayukiToc

2021-01-14から1日間の記事一覧

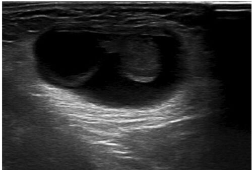
症例66:片側大陰唇が腫脹した6週女児(Ann Emerg Med. 2020 Dec;76(6):e123-e124.)

病歴/身体所見 ・6週女児 ・片側陰唇腫大のためER受診 ・特記すべき既往はない ・左大陰唇に2cmほどの押しても縮小しない腫瘤を認めた ・バイタルサインに異常はなし 検査 ・陰唇の超音波検査が実施された 1.5cmほどの構造物(卵巣)と水腫を認める 卵巣の血…