りんごの街の救急医

救急科専門医によるERで学んだことのまとめブログです!間違いなどありましたら是非ご指摘下さい。Twitterでも医療系のつぶやきをしています@MasayukiToc

2020-12-08から1日間の記事一覧

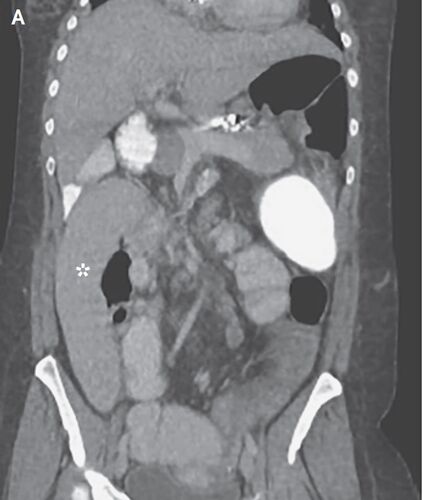
症例29:腹痛と嘔吐で受診した36歳女性(N Engl J Med. 2020 Nov 19;383(21):2065.)

病歴/身体所見 ・36歳女性 ・前日からの腹痛と嘔吐のためER受診 ・潰瘍性大腸炎、原発性硬化性胆管炎による肝硬変を患っている ・手術歴:結腸全摘術、胆嚢摘出術、虫垂切除術 ・触診では腹部全体に圧痛を認めた 検査 ・血液検査:lipase 682IU/L(5~50)と上…