りんごの街の救急医

救急科専門医によるERで学んだことのまとめブログです!間違いなどありましたら是非ご指摘下さい。Twitterでも医療系のつぶやきをしています@MasayukiToc

2020-11-10から1日間の記事一覧

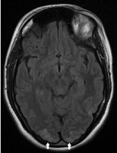
症例1:出産後に生じたけいれん発作(Ann Emerg Med. 2017 Jan;69(1):144-151.)

Annals of Emergenecy MedicineのImages in Emergency Medicineを1日1症例ずつ読んでいこうと思います。 これがもし1年続けば…すごい財産になるかも。 本日2020年11月10日を1日目として始めたいと思います! 病歴/身体所見 ・27歳女性 ・突然発症の頭痛/嘔吐…